消癌平片主治食管癌、胃癌、肺癌、肝癌、肠癌等恶性肿瘤。消癌平片是一种抗肿瘤中成药,主要成分为乌骨藤提取物,具有抑制肿瘤细胞增殖、增强免疫功能的功效,临床上多用于配合放化疗或术后辅助治疗。

1、食管癌
消癌平片可用于食管癌患者的辅助治疗。食管癌患者常出现进行性吞咽困难、胸骨后疼痛等症状,消癌平片能帮助抑制肿瘤生长,缓解症状,常与其他抗肿瘤药物联合使用。建议在医生指导下规范用药,并定期复查胃镜评估疗效。
2、胃癌
消癌平片适用于胃癌的辅助治疗。胃癌患者多有上腹隐痛、食欲减退等表现,该药通过调节机体免疫功能,抑制肿瘤血管生成,达到辅助抗肿瘤效果。用药期间需监测肝肾功能,出现恶心呕吐等不良反应时应及时就医。
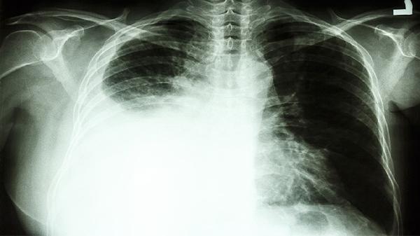
3、肺癌
消癌平片对肺癌有一定治疗作用。肺癌患者常见咳嗽、咯血、胸痛等症状,该药能抑制肺癌细胞扩散,减轻放化疗副作用。临床上多与吉非替尼片、卡铂注射液等药物联合使用,需严格遵循医嘱控制用药剂量。

4、肝癌
消癌平片可用于原发性肝癌的辅助治疗。肝癌患者多有肝区疼痛、黄疸等症状,该药通过诱导肿瘤细胞凋亡发挥作用,常与索拉非尼片等靶向药物联用。用药期间应定期检查甲胎蛋白和肝脏影像学变化。
5、肠癌
消癌平片适用于结肠癌、直肠癌等肠癌的治疗。肠癌患者常见便血、肠梗阻等症状,该药能抑制肿瘤转移,提高患者生存质量。多与奥沙利铂注射液、卡培他滨片等化疗药物联合使用,需注意监测血常规变化。

使用消癌平片期间应保持清淡饮食,适当补充优质蛋白和维生素,避免辛辣刺激性食物。用药后若出现皮疹、发热等过敏反应需立即停药就医。肿瘤患者还需保持规律作息,适当进行舒缓运动,定期复查肿瘤标志物和影像学检查,及时调整治疗方案。建议严格遵循医嘱用药,不要自行增减剂量或延长疗程。








