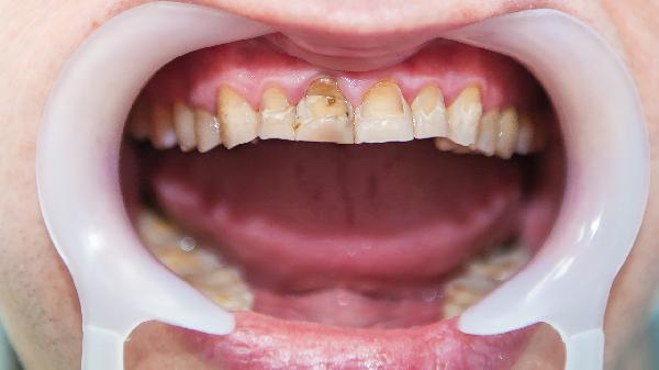
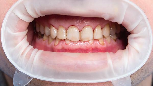
牙龈红肿可遵医嘱使用人工牛黄甲硝唑胶囊、阿莫西林克拉维酸钾片、布洛芬缓释胶囊、复方氯己定含漱液、栀子金花丸等药物。牙龈红肿可能与牙周炎、牙龈炎、龋齿、智齿冠周炎、维生素缺乏等因素有关,通常表现为牙龈出血、疼痛、口臭等症状。建议及时就医,在医生指导下用药,避免自行服药延误病情。

一、人工牛黄甲硝唑胶囊
人工牛黄甲硝唑胶囊适用于由厌氧菌感染引起的牙龈红肿,如牙龈炎或牙周炎。该药物含甲硝唑成分可抑制细菌生长,人工牛黄具有消炎作用。使用期间可能出现恶心、头痛等不良反应,需避免饮酒。对硝基咪唑类药物过敏者禁用。
二、阿莫西林克拉维酸钾片
阿莫西林克拉维酸钾片用于细菌性牙龈感染,克拉维酸可增强阿莫西林的抗菌效果。常见不良反应包括腹泻、皮疹等,青霉素过敏者禁用。用药期间需监测肝功能,避免与别嘌呤醇合用。
三、布洛芬缓释胶囊
布洛芬缓释胶囊可缓解牙龈红肿伴随的疼痛和炎症,通过抑制前列腺素合成发挥作用。胃肠道溃疡患者慎用,可能引起胃部不适。不宜与其他非甾体抗炎药合用,用药不超过3天症状未缓解应就医。

四、复方氯己定含漱液
复方氯己定含漱液可直接作用于口腔局部,含氯己定和甲硝唑成分,适用于牙龈炎导致的红肿。使用时需含漱2-3分钟,可能出现味觉改变或牙齿着色。长期使用可能影响口腔菌群平衡。
五、栀子金花丸
栀子金花丸为中成药,具有清热泻火功效,适用于胃火上炎型牙龈红肿。含栀子、黄连等成分,可能引起腹泻等脾胃虚寒症状。服药期间忌食辛辣刺激食物,不宜与滋补性中药同服。

牙龈红肿患者除药物治疗外,需保持口腔卫生,每日刷牙2次并使用牙线清洁。避免过硬、过烫食物刺激牙龈,可适量食用富含维生素C的猕猴桃、西蓝花等。戒烟限酒,定期口腔检查,每6-12个月进行专业洁牙。若红肿持续超过1周或伴随发热、淋巴结肿大等症状,应立即复诊。








