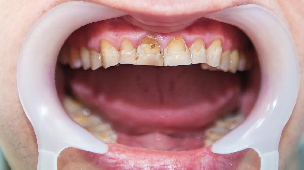
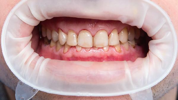
牙龈疼可以遵医嘱使用甲硝唑片、布洛芬缓释胶囊、阿莫西林胶囊、人工牛黄甲硝唑胶囊、复方氯己定含漱液等药物。牙龈疼可能与牙龈炎、牙周炎、龋齿、智齿冠周炎、牙髓炎等疾病有关,建议及时就医明确病因,在医生指导下规范用药。

一、甲硝唑片
甲硝唑片适用于厌氧菌感染引起的牙龈疼痛,如牙龈炎或牙周炎。该药物能抑制细菌DNA合成,减轻牙龈红肿和出血。使用期间可能出现恶心、口腔金属味等不良反应,服药期间禁止饮酒。孕妇及哺乳期女性禁用。
二、布洛芬缓释胶囊
布洛芬缓释胶囊可缓解牙龈疼痛伴随的炎症反应和肿胀,对智齿冠周炎或牙髓炎导致的剧烈疼痛有镇痛作用。可能引起胃肠道不适,胃溃疡患者慎用。需注意该药仅对症治疗,不能消除感染病因。
三、阿莫西林胶囊
阿莫西林胶囊针对细菌性牙龈感染,如化脓性牙龈炎或牙周脓肿。通过破坏细菌细胞壁发挥杀菌作用。用药前需确认无青霉素过敏史,可能出现皮疹、腹泻等不良反应。需完成全程治疗避免耐药性。

四、人工牛黄甲硝唑胶囊
人工牛黄甲硝唑胶囊结合了甲硝唑与人工牛黄成分,适用于火毒内盛型牙龈肿痛。人工牛黄具有清热解毒功效,增强抗炎效果。禁忌症与甲硝唑相同,不宜长期连续使用超过7天。
五、复方氯己定含漱液
复方氯己定含漱液可直接作用于口腔局部,缓解牙龈出血和轻度炎症。含漱后需避免立即饮水以保持药效。可能出现短暂味觉改变,儿童使用时需家长监督防止误吞。

牙龈疼痛期间应保持口腔清洁,每日使用软毛牙刷刷牙两次,配合牙线清理牙缝。避免进食过冷、过热或辛辣刺激性食物。可适量食用猕猴桃、西蓝花等富含维生素C的食物促进牙龈修复。若用药3天后症状未缓解,或出现发热、面部肿胀等情况需立即复诊。长期牙龈出血者建议每半年进行一次专业洁牙。








