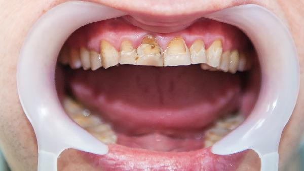
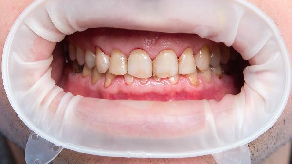
牙龈发炎可通过保持口腔卫生、使用漱口水、冷敷、调整饮食以及遵医嘱使用药物等方式快速消炎。牙龈发炎通常由牙菌斑堆积、食物嵌塞、不良修复体刺激、内分泌变化以及全身性疾病等原因引起。

一、保持口腔卫生
坚持正确的刷牙和使用牙线是消除局部刺激的基础。建议使用软毛牙刷,采用巴氏刷牙法,每日至少刷牙两次,每次不少于两分钟,并配合使用牙线或牙缝刷清洁牙齿邻面,以彻底清除牙菌斑和食物残渣。对于牙龈红肿区域,刷牙动作应轻柔,避免过度用力导致牙龈损伤和出血加重。在炎症急性期,保持良好的口腔卫生习惯有助于控制感染扩散,为后续恢复创造条件。
二、使用漱口水
使用具有抗菌作用的漱口水可以作为辅助清洁手段。例如,含有氯己定成分的漱口水能有效抑制口腔内细菌生长,减少牙菌斑形成,但通常建议短期使用以避免牙齿着色。含有西吡氯铵或精油成分的漱口水也有助于减轻牙龈炎症。使用时需按照说明书或医嘱,每日含漱一至两次,每次含漱约30秒后吐出,无须再用清水漱口。漱口水不能替代刷牙和牙线,但能帮助控制口腔环境,缓解牙龈肿痛。
三、冷敷
对于牙龈局部出现明显肿胀、疼痛的情况,可以采用冷敷的方法帮助消肿镇痛。用毛巾包裹冰袋或冷水袋,敷在脸颊对应牙龈肿胀的外部皮肤上,每次持续15-20分钟,每日可重复数次。冷敷能使局部血管收缩,减轻组织渗出和水肿,从而缓解疼痛和灼热感。这种方法适用于炎症急性发作期,是一种安全有效的物理缓解方式,但需注意避免冻伤皮肤。

四、调整饮食
在牙龈发炎期间,应选择温凉、柔软、清淡的食物,避免过热、过硬、辛辣刺激或过甜的食物,以减少对发炎牙龈的物理和化学刺激。可以多摄入富含维生素C的新鲜蔬菜水果,如猕猴桃、西蓝花,维生素C有助于维持牙龈结缔组织的健康。同时保证优质蛋白的摄入,如鸡蛋、鱼肉,为组织修复提供营养。避免用患侧咀嚼,并注意多喝水,保持口腔湿润。
五、遵医嘱使用药物
若牙龈炎症较重或伴有全身症状,需及时就医,在医生指导下使用药物。治疗可能包括局部用药和全身用药。局部可使用碘甘油等药物涂布于牙龈沟内消炎。针对细菌感染引起的急性炎症,医生可能会开具抗生素,如甲硝唑片、阿莫西林胶囊或头孢克肟分散片。为缓解疼痛,可使用布洛芬缓释胶囊或对乙酰氨基酚片等非甾体抗炎药。使用任何药物都必须严格遵循医嘱,不可自行购买服用,以免延误病情或产生不良反应。

牙龈发炎期间,除了上述针对性措施,日常护理也至关重要。应保证充足休息,避免熬夜和过度疲劳,因为身体抵抗力下降会加重炎症。戒烟限酒,烟草和酒精都会刺激牙龈,影响愈合。炎症消退后,仍需维持良好的口腔卫生习惯,并定期进行口腔检查和洁治,预防牙菌斑和牙结石再次堆积。如果牙龈反复发炎、出血不止或伴有牙齿松动、口臭加重等情况,可能提示存在更严重的牙周问题,须及时前往口腔科就诊,进行系统性的牙周评估和治疗,避免问题进一步发展。







