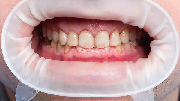
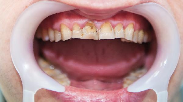
牙龈流出脓液可能与牙龈炎、牙周炎、根尖周炎、牙周脓肿、智齿冠周炎等疾病有关,可遵医嘱使用甲硝唑片、阿莫西林胶囊、头孢克肟分散片、布洛芬缓释胶囊、复方氯己定含漱液等药物。建议及时就医,明确病因后针对性治疗。

一、甲硝唑片
甲硝唑片适用于厌氧菌感染引起的牙龈化脓,如牙周炎或根尖周炎。该药物能抑制细菌DNA合成,缓解局部红肿疼痛。使用期间可能出现恶心、口腔金属感等不良反应,妊娠期及哺乳期禁用。需配合口腔清洁,避免与酒精同服。
二、阿莫西林胶囊
阿莫西林胶囊对链球菌等需氧菌导致的牙龈感染有效,常见于急性牙周脓肿。通过破坏细菌细胞壁发挥杀菌作用。过敏体质者需皮试,可能出现皮疹或腹泻。与甲硝唑联用可增强对混合感染的效果,但须严格遵循医嘱。
三、头孢克肟分散片
头孢克肟分散片针对革兰阴性菌引起的重度牙龈化脓,如伴发热的智齿冠周炎。属第三代头孢菌素,抗菌谱较广。肾功能不全者需调整剂量,与抗酸药同服会降低药效。治疗期间应监测是否出现伪膜性肠炎等不良反应。

四、布洛芬缓释胶囊
布洛芬缓释胶囊用于缓解牙龈化脓伴随的剧烈疼痛和肿胀,通过抑制前列腺素合成减轻炎症反应。消化道溃疡患者慎用,可能增加出血风险。需餐后服用,避免与抗凝药物合用。该药仅对症处理,需联合抗生素根治感染。
五、复方氯己定含漱液
复方氯己定含漱液可直接作用于口腔局部,抑制化脓部位的细菌滋生。含葡萄糖酸氯己定和甲硝唑成分,适用于牙龈炎早期脓液渗出。使用后可能出现舌苔染色,建议用药后清水漱口。儿童需在家长监督下使用,避免吞咽。

牙龈化脓期间需保持口腔清洁,每日用温盐水漱口3-4次,避免进食辛辣刺激食物。选择软毛牙刷轻柔清洁患处,使用牙线清除牙缝残渣。治疗期间禁止吸烟饮酒,定期复查口腔情况。若用药3天无改善或出现高热、面部肿胀,应立即复诊调整治疗方案。长期牙龈流脓可能破坏牙槽骨,早诊断早治疗是关键。








