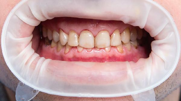
牙龈退缩主要表现为牙根暴露、牙齿敏感、牙缝增大等症状,通常由牙周炎、刷牙方式不当、牙齿错位、遗传因素、咬合创伤等原因引起。

1、牙根暴露
牙龈退缩最直观的表现是牙根部分暴露,牙齿看起来比正常情况更长。健康的牙龈应紧密包裹牙颈部,当牙龈组织向根方移位时,牙釉质与牙骨质交界处会逐渐显露。暴露的牙根表面呈淡黄色,与牙冠的乳白色形成明显色差,可能伴随牙结石沉积。
2、牙齿敏感
由于牙根表面的牙骨质较薄,牙龈退缩后暴露的牙本质小管遇冷热刺激时会产生短暂尖锐疼痛。常见于饮用冷饮、刷牙或吸入冷空气时,严重者甚至对酸甜食物产生反应。随着退缩程度加重,敏感症状可能从间歇性发展为持续性。
3、牙缝增大
牙龈乳头萎缩会导致相邻牙齿间出现黑色三角间隙,食物残渣容易嵌塞。前牙区尤其明显,可能影响发音清晰度。随着牙周支持组织持续丧失,牙齿可能出现松动移位,进一步加重牙缝增宽现象。

4、牙龈形态改变
退缩的牙龈边缘呈现不规则波浪状,与健康牙龈的扇贝形轮廓形成对比。局部牙龈颜色可能变暗红,质地从坚韧变为松软。部分患者可在退缩区观察到牙龈边缘变薄,严重者可见牙槽骨轮廓透过黏膜显现。
5、继发症状
长期牙龈退缩可能引发根面龋、牙齿磨耗等并发症。暴露的牙根表面更易堆积菌斑,增加龋坏风险。某些病例会出现牙龈边缘充血或溃疡,咀嚼时可能伴随轻微出血。重度退缩可能导致牙齿稳定性下降,影响咬合功能。

建议使用软毛牙刷采用巴氏刷牙法,避免横向用力刷牙。定期进行牙周检查和洁治,控制牙菌斑堆积。对于已经发生的牙龈退缩,可通过脱敏牙膏缓解症状,严重者需考虑牙龈移植等手术治疗。日常饮食避免过冷过热刺激,使用牙线时注意不要损伤牙龈乳头。吸烟者应戒烟以减少对牙龈微循环的损害。








