牙釉质发育不全可能导致牙齿敏感、龋齿易感性增加、牙齿美观度下降、咀嚼功能受损以及心理社交障碍等问题。牙釉质发育不全主要与遗传因素、孕期营养不良、婴幼儿期全身性疾病、局部外伤或感染、氟化物过量摄入等因素有关。

1、牙齿敏感
牙釉质发育不全会导致牙釉质变薄或缺失,使牙本质暴露在外。牙本质中含有大量牙本质小管,直接与牙髓神经相连。当受到冷热酸甜或机械刺激时,这些刺激会通过牙本质小管迅速传导至牙髓,引起明显疼痛不适。长期牙齿敏感会影响正常饮食和生活质量。
2、龋齿易感性增加
牙釉质是人体最坚硬的矿化组织,具有保护牙齿免受细菌侵蚀的重要功能。发育不全的牙釉质结构疏松、矿化程度低,抗酸蚀能力显著下降。口腔中的致龋菌更容易在牙面定植并产酸,加速牙齿硬组织脱矿,导致龋齿发生概率明显高于正常牙齿。
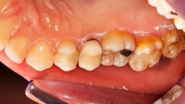
3、牙齿美观度下降
发育不全的牙釉质常表现为牙面白垩色斑块、黄色或棕色着色,严重者可见牙面凹陷或沟纹。前牙区釉质发育不全会直接影响笑容美观,可能造成患者自卑心理。部分病例还会出现牙齿形态异常,如牙冠过小、切缘缺损等,进一步影响面部美观。

4、咀嚼功能受损
后牙区釉质发育不全可能导致牙冠结构薄弱,在长期咀嚼压力下容易出现牙体组织崩解或折断。严重者可能发生牙冠大面积缺损,直接影响咀嚼效率。长期单侧咀嚼还可能引发颞下颌关节紊乱等问题,进一步加重口腔功能异常。
5、心理社交障碍
青少年患者可能因牙齿外观异常而回避社交活动,产生焦虑或抑郁情绪。成人患者在工作场合可能因牙齿问题缺乏自信,影响职业发展。儿童患者可能因牙齿敏感拒绝刷牙,形成恶性循环。这些心理问题往往需要专业心理疏导干预。

对于牙釉质发育不全患者,建议使用含氟牙膏配合软毛牙刷轻柔刷牙,避免横向大力刷牙加重釉质磨损。日常饮食应减少酸性食物和碳酸饮料摄入,餐后及时漱口。可定期进行专业涂氟治疗增强牙面抗酸能力。严重缺损者可考虑树脂修复或全冠修复,但需在专业牙医指导下选择合适治疗方案。同时应重视心理疏导,帮助患者建立积极的口腔健康观念。








