肺结核无传染性通常需要继续服药。肺结核的治疗需遵循全程规范用药原则,即使痰菌转阴或传染性消失,仍需完成抗结核治疗以彻底杀灭体内结核分枝杆菌,避免复发或产生耐药性。

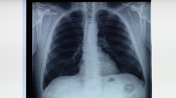
肺结核患者经规范抗结核治疗后,痰涂片检查连续多次阴性可判定为无传染性,但病灶中仍可能存在处于休眠状态的结核菌。此时若擅自停药,残留细菌可能重新活跃导致病情反复,甚至发展为耐多药结核病。标准短程化疗方案通常需6-9个月,强化期使用异烟肼片、利福平胶囊、吡嗪酰胺片、乙胺丁醇片四联用药,巩固期减少为异烟肼片和利福平胶囊。治疗期间需定期复查胸部CT和痰培养,由医生评估是否调整用药。部分患者病灶吸收缓慢或存在肺外结核,可能需要延长疗程至12个月。

极少数特殊情况如药物严重过敏或肝肾功能严重受损时,医生可能调整治疗方案。对于合并HIV感染、糖尿病等基础疾病患者,需加强免疫支持治疗。妊娠期妇女使用乙胺丁醇片需严格监测胎儿发育,儿童用药需根据体重调整剂量。老年患者应注意预防异烟肼片引起的周围神经炎,可联合维生素B6片预防。

肺结核患者治疗期间应保持均衡饮食,适量增加鸡蛋、鱼肉等优质蛋白摄入,补充维生素A、维生素D促进病灶修复。避免吸烟饮酒,注意居室通风,进行适度有氧运动增强体质。即使完成全程治疗,也应定期随访2-3年,观察是否有复发迹象。接触过结核患者的家庭成员应进行结核菌素试验筛查,婴幼儿可预防性服用异烟肼颗粒。








